
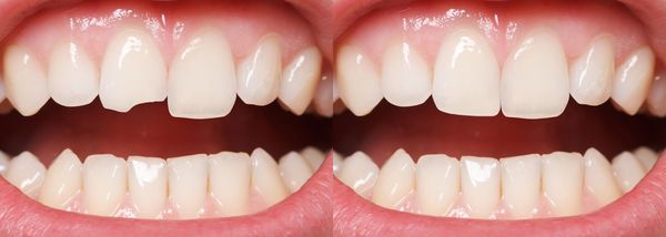
Before and after of dental bonding used to fix chip in tooth
Dental bonding is a quick, painless cosmetic procedure that repairs chipped, discolored, or gapped teeth using a tooth-colored composite bonding resin. It’s an affordable alternative to veneers and ideal for minor cosmetic improvements.
Restores chipped or cracked teeth
Closes small gaps between teeth
Improves tooth color and shape
Affordable & non-invasive—no enamel removal
Quick same-day procedure
Quick same-day procedure
Consultation & Color Matching
We’ll start with a personalized consultation to understand your goals and examine your teeth. If dental bonding is the right solution for you, we’ll choose a composite shade that blends naturally with your smile.
The Dental Bonding Procedure
In most cases, bonding is completed in just one visit—no need for multiple appointments! The procedure is quick, painless, and requires no anesthesia unless we’re treating a decayed tooth.
Enjoy Your Smile Right Away!
There’s no downtime, so you can return to your normal routine immediately. Your bonded teeth will look natural and feel just like the rest of your smile.
Long-Lasting Results
With good oral hygiene and routine dental visits, your composite bonding can last 5–10 years. We’ll provide care tips to keep your smile looking its best.

Schedule your appointment in seconds with our online booking tool.
Dental bonding typically lasts 5–10 years with proper care. Avoid biting on hard objects to extend its lifespan.
Yes, composite bonding resin can stain over time. Avoid excessive coffee, red wine, and smoking.
Yes! Composite bonding for gaps is a fast and cost-effective alternative to braces or veneers.
Bonding is less expensive and non-invasive, while veneers are more durable and stain-resistant. We’ll help you decide the best option!